Elo-Zuchtstätte vom Bockmerholz
Elo-Zuchtstätte vom Bockmerholz

B-Wurf

Nayeli und Glen von der Schatzinsel haben sich am 9. und 10. Februar 2017 verpaart.

Nachdem es am vergangenen Wochenende trotz großer Liebe und unermüdlicher Versuche noch nicht ganz geklappt hat, sind wir noch ein zweites Mal angereist und nun hat es richtig gefunkt. Jetzt warten wir alle ganz gespannt, ob die Romanze Früchte trägt. ;-)

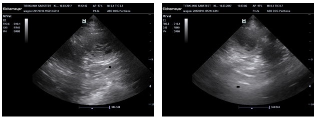
Und hier nun endlich die ersten "Welpen-Fotos"...

Die Welpen sind endlich da!!!

Am 12.04.2017 haben 6 Rüden und 4 Hündinnen das Licht der Welt erblickt.

Bonar (jetzt Mico)

Basil

Batida

Barnaby 

Bianca (jetzt Flocke)

Bono (jetzt Theo)

Baghira

Belana

Boss Hoss (jetzt Bjarki)

Brixa

Druckversion | Sitemap
© Sabine Steinhof